Antcins from Antrodia cinnamomea and Antrodia salmonea Inhibit Angiotensin-Converting Enzyme 2 (ACE2) in Epithelial Cells: Can Be Potential Candidates for the Development of SARS-CoV-2 Prophylactic Agents
Abstract
Antcins are newly identified steroid-like compounds from Taiwan's endemic medicinal mushrooms Antrodia cinnamomea and Antrodia salmonea. Scientific studies of the past two decades confirmed that antcins have various pharmacological activities, including potent anti-oxidant and anti-inflammatory effects. The severe acute respiratory syndrome coronavirus 2 (SARS-CoV-2) caused the coronavirus disease-2019 (COVID-19) pandemic and is characterized as a significant threat to global public health. It was recently identified that SARS-CoV-2 required angiotensin converting enzyme 2 (ACE2), a receptor which supports host cell entry and disease onset. Here, we report a novel function of antcins, in which antcins exhibit inhibitory effects on ACE2. Compared to the untreated control group, treatment with various antcins (antcin-A, antcin-B, antcin-C, antcin-H, antcin-I, and antcin-M) significantly inhibited ACE2 activity in cultured human epithelial cells. Indeed, among the investigated antcins, antcin-A, antcin-B, antcin-C, and antcin-I showed a pronounceable inhibition against ACE2. These findings suggest that antcins could be novel anti-ACE2 agents to prevent SARS-CoV-2 host cell entry and the following disease onset.
Figures
Figure 1
Chemical structure of antcins.
Figure 1
Chemical structure of antcins.
Figure 1 Chemical structure of antcins.
Figure 2
Cytotoxic effects of antcins on…
Figure 2
Cytotoxic effects of antcins on HT-29 cells. ( A – G ) HT-29…
Figure 2 Cytotoxic effects of antcins on HT-29 cells. (A–G) HT-29 cells were incubated with increasing concentrations of antcins (5–40 M) for 48 h. The cell viability was determined by the MTT colorimetric assay as described in materials and methods. Values represent the mean ± SD of three independent experiments. p-values of less than 0.05 *, 0.01 **, and 0.001 *** were considered statistically significant for the antcins treatment group vs. the control group.
Figure 3
Antcins reduced human ACE2 levels…
Figure 3
Antcins reduced human ACE2 levels in HT-29 cells. HT-29 cells were incubated with…
Figure 3 Antcins reduced human ACE2 levels in HT-29 cells. HT-29 cells were incubated with the indicated concentration of antcins for 48 h. Cell lysates were subjected to determine ACE2 levels using a commercially available ELISA kit. Values represent the mean ± SD of three independent experiments. p-values of less than 0.01 **, and 0.001 *** were considered statistically significant for the antcins treatment group vs. the control group.
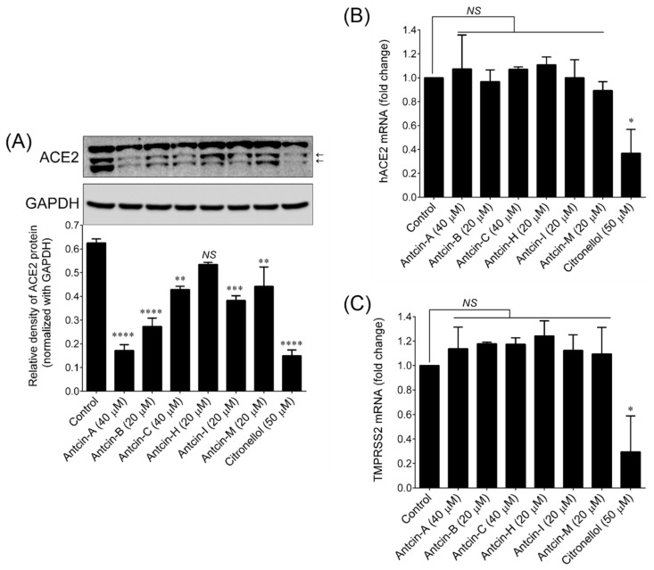
Figure 4
Antcins inhibited ACE2 protein expression…
Figure 4
Antcins inhibited ACE2 protein expression in HT-29 cells. ( A ) HT-29 cells…
Figure 4 Antcins inhibited ACE2 protein expression in HT-29 cells. (A) HT-29 cells were incubated with the indicated concentration of antcins for 48 h. Protein expression levels of ACE2 was determined by immunoblotting. Glyceraldehyde 3-phosphate dehydrogenase (GAPDH) was used as an internal loading control. The relative density of one representative experiment is shown, where ACE2 signal was normalized with GAPDH signal. (B,C) Relative expression of ACE2 and TMPRSS2 mRNAs in HT-29 cells. Total RNA was extracted from cells treated with indicated concentration of antcins for 48 h. The transcription levels of ACE2 and TMPRSS2 were quantified by qPCR and a representative experiment is shown. The Δct values of ACE2 and TMPRSS2 mRNAs were normalized to GAPDH mRNA. Values represent the mean ± SD of two independent experiments. p-values of less than 0.05 *, 0.01 **, 0.001 ***, and 0.0001 **** were considered statistically significant for the antcins treatment group vs. the control group.