台灣樟芝乙醇萃取物誘導細胞週期停滯並增強順鉑和阿黴素對人類肝癌細胞的細胞毒性
圖
圖 1
< p> TCEE 的細胞生長抑制…圖1
TCEE 對人類肝癌細胞Hep3B 和HepJ5 的細胞生長抑制…
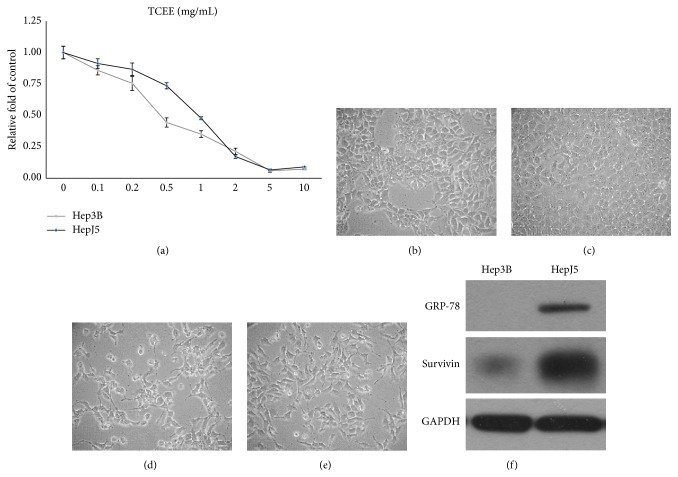
圖1 TCEE 的細胞生長抑制TCEE 對人類肝細胞癌細胞Hep3B 和HepJ5 的作用。 (a)以0至10mg/mL TCEE處理Hep3B(灰線)和HepJ5(黑線)細胞48小時,並以MTT測定測定細胞活力。 TCEE 對 Hep3B 細胞和 HepJ5 細胞的 IC50 分別為 0.48mg/mL 和 0.91mg/mL。實驗重複三次,給出的數據為平均值加標準差。 ((b)至(e))以0mg/mL TCEE((b)和(c)Hep3B和HepJ5,分別)或0.5至1.0mg/mL TCEE處理48小時的Hep3B和HepJ5細胞的形態學觀察( ( d) 和(e) Hep3B 和HepJ5,分別)。與正常培養基處理的細胞相比,TCEE處理的細胞表現出類似凋亡的形態變化,例如細胞收縮和細胞起泡。放大倍率 = 100 倍。 (f)以蛋白質印跡分析確定Hep3B和HepJ5細胞上存活素和GRP-78的表達。 HepJ5 細胞比 Hep3B 細胞表現出更高的生存素和 GRP-78 表現。 GAPDH 作為內部對照。
圖2
TCEE引發細胞週期停滯…
圖2
TCEE 誘導細胞週期停滯並活化caspase-3。 (a) 細胞週期…
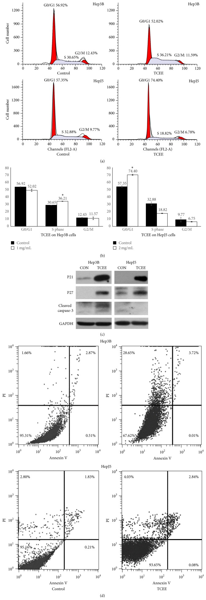
圖2 TCEE 誘導細胞週期停滯並活化caspase-3。 (a)透過FACS使用PI染色對以1或2mg/mL TCEE處理24小時的Hep3B和HepJ5細胞分析細胞週期分佈。 (b) 用來比較對照或 TCEE 處理細胞的長條圖。數據以平均值加標準差的形式呈現。 * 表示與對照組相比具有統計顯著性(Student's t 檢定 P < 0.05)。 (c)以蛋白質印跡分析測定用0.5或1.0mg/mL TCEE處理48小時的Hep3B和HepJ5細胞上P21和P27以及裂解的caspase-3的表達。 GAPDH 作為標準化對照。半定量數據如表 2 所示。 。
圖 3
單元格
圖3
順鉑或多柔比星TCEE處理對Hep3B的細胞生長抑制...
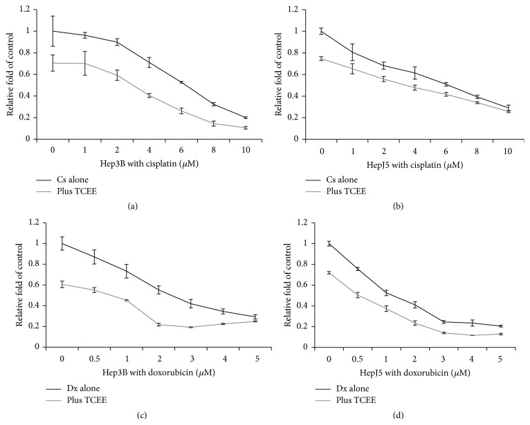
圖3 順鉑或多柔比星TCEE對細胞生長的抑製作用對 Hep3B 和 HepJ5 細胞的治療。 Hep3B和HepJ5細胞分別以0至10μM順鉑或0至5μM阿黴素與0(黑線)或0.2至0.5mg/mL(灰線)TCEE組合處理48小時。透過MTT測定測定細胞活力。實驗進行三次,數據以平均值加標準差的形式表示。數據以平均值加標準差的形式呈現。