台灣樟芝活性組分 (HS7) 導致人類結腸癌細胞凋亡和 Wnt/β-Catenin 訊號通路抑制
圖
圖 1
< p> HS7 抑制結腸癌細胞...圖1
HS7 以劑量和時間依賴性方式抑制結腸癌細胞增殖...
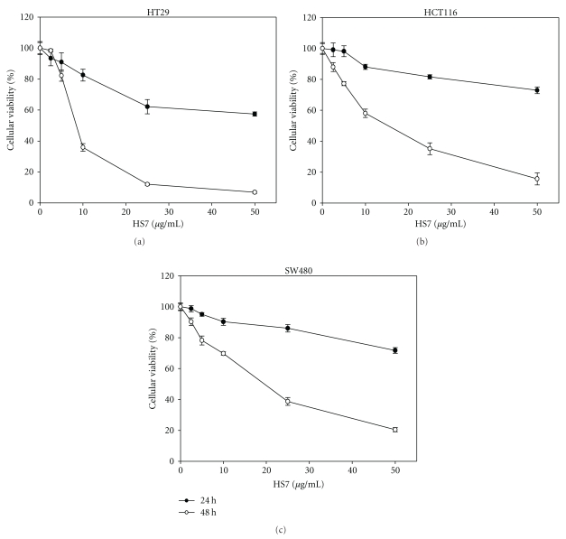
圖1 HS7 抑制結腸3 種細胞系中癌細胞以劑量和時間依賴性方式增殖:(a) HT29、(b) HCT116 和 (c) SW480。以終濃度0-50μg/mL的HS7處理細胞24小時和48小時(對照組以濃度<0.05%的DMSO處理)。透過SRB測定測定細胞增殖。顯示了三次重複測量的細胞增殖平均值(%)±SD的結果(*與對照組相比,P<0.01)。
圖2
HS7誘導人類細胞凋亡...
圖2
HS7 誘導人類結腸癌細胞凋亡。 (a) SW480、HCT116 和 HT29…
圖 2 HS7 誘導人類結腸癌細胞凋亡。 (a) 以一系列 HS7(0、10 和 25 μg/mL)處理 SW480、HCT116 和 HT29 細胞 48 小時。然後用膜聯蛋白 V/碘化丙啶 (PI) 對細胞進行染色並以流式細胞儀進行分析。使用膜聯蛋白 V 與 PI 對比,凋亡細胞位於點圖的右下象限(早期凋亡)和右上象限(晚期凋亡)。 (b) 長條圖代表三次測量的平均值±SD。 *P< .05; **P< .01,與對照組相比。
圖3
誘導細胞凋亡HS7 在…
圖 3
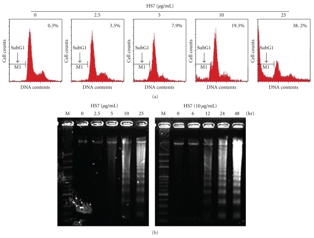
HT29 細胞中 HS7 誘導的細胞凋亡。 (a) HS7 增加了 subG1 群體…
圖 3 HT29 細胞中 HS7 誘導的細胞凋亡。 (a) HS7 增加了 HT29 細胞中的 subG1 群體。 HT29 細胞在沒有(對照)或有 HS7(2.5–25 μg/mL)的情況下生長 48 小時,以碘化丙啶 (PI) 染色,並以流式細胞儀分析 DNA 含量。箭頭表示 DNA 片段或 subG1 群體的預測位置。 (b) 顯示了暴露於 HS7 的 HT29 細胞的 DNA 片段。從 HS7 處理的 HT29 細胞中萃取基因組 DNA,並在 1.8% 瓊脂糖凝膠上分離。
圖 4
HS7 監管特定蛋白的表達...
圖4
HS7 調節參與凋亡的HT29 細胞中特定蛋白的表達。 (a)…
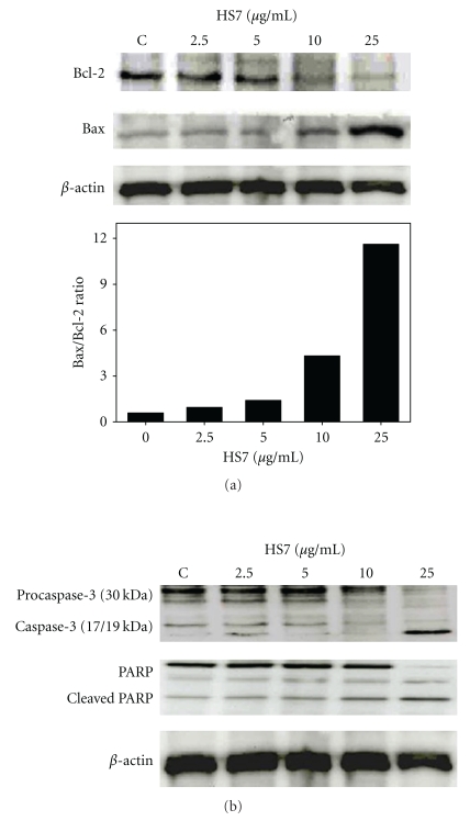
圖 4 HS7 調節 HT29 細胞中參與凋亡的特定蛋白的表達。 (a) 顯示了 Bax 和 Bcl-2 的蛋白質表現以及 Bax/Bcl-2 比率。 HT-29 細胞暴露於 2.5–25μg/mL HS7 中 48 小時。 Bax 和 Bcl-2 表現以蛋白質印跡測定。使用光密度分析測量 Bcl-2 和 Bax 蛋白條帶的相對變化。 (b) HS7 在 HT29 細胞中誘導 caspase-3 活化並裂解 PARP。顯示了 3 個獨立實驗的典型結果。
圖 5
HS7 抑制轉錄活性...
圖5
HS7 抑制結腸細胞系中β-catenin/Tcf 的轉錄活性。 (a) SW480,…
圖 5 HS7 抑制結腸細胞系中 β-catenin/Tcf 的轉錄活性。 (a) SW480、(b) HCT116 和(c) HT29 細胞透過Lipofectamine 2000 與TOPflash 或FOPflash 和Renilla pRL-TK 報告質粒瞬時共轉染。 。透過海腎螢光素酶活性測定的轉染效率來標準化相對螢光素酶活性。
圖 6
HS7 劑量- 依賴性降低結合...
圖6
HS7 劑量依賴性降低Tcf 複合物與DNA 的結合,並下調...
圖6 HS7 劑量依賴性降低Tcf 複合物與 DNA 結合併下調活性 β-連環蛋白、Tcf-4 和 p-GSK3α/β 的蛋白質水準。 (a) 以指定濃度的 HS7 處理 HT-29 細胞 48 小時,並分離核萃取物。使用 5μg 核提取物進行電泳遷移率凝膠位移測定 (EMSA)。 (b)以HS7(0–25μg/mL)處理HT-29細胞48小時,然後透過Western blot分析活性β-catenin、Tcf-4和p-GSK3α/β蛋白水平的變化。 β-肌動蛋白作為內部對照。所有圖片均代表兩個獨立實驗。
圖7
效果HS7對細胞的影響...
圖7
HS7 對HT-29 細胞中β-catenin 細胞定位的影響是...
圖7 HS7 對β -catenin 細胞定位的影響顯示了 HT-29 細胞中的 β-連環蛋白。使用標記 β-連環蛋白的單株抗體透過間接免疫螢光評估 β-連環蛋白的細胞定位。顯示了用媒介物 (a) 或 10μg/mL HS7 (c) 處理 48 小時的細胞中 β-連環蛋白的免疫螢光標記(紅色)。用載體(b)或10μg/mL HS7(d)處理48小時的細胞中的細胞核用4',6-二脒基-2-苯基吲哚(藍色)複染。合併影像顯示,與對照組相比,HS7 處理的細胞中位於細胞-細胞接觸處的 β-連環蛋白顯著增加(e 和 f)。每張代表性圖片的放大倍率:200 倍(來自 3 個獨立的實驗)。
圖8
抑制效果HS7對...
圖8
HS7對Tcf/β-catenin下游基因表現的抑製作用...
圖8 HS7對Tcf/β-catenin下游基因表現的抑製作用... HT29 細胞中的 Tcf/β-catenin 下游基因。 (a) 以 HS7 (2.5–10μg/mL) 處理細胞 48 小時。以RT-PCR評估存活素mRNA表現。長條圖顯示了針對 GAPDH 歸一化的 RT-PCR 結果的光密度分析。結果代表 3 次實驗的平均值±SD。 (b)將細胞暴露於10μg/mL HS7 48小時,並以RT-PCR評估c-Myc、CyclinD1、MMP7和MT1-MMP mRNA的表達。 *P< .05; **P< .01 與對照組相比。
圖 9
假設隔膜HS7 誘導的…
圖9
假設的HS7 隔膜誘導細胞凋亡並抑制Wnt/β-catenin 訊號傳導…
圖9 假設的HS7 隔膜誘導細胞凋亡並抑制HT-29 結腸癌細胞中 Wnt/β-catenin 訊號路徑的影響。箭頭表示促進,T形條表示抑制。 Dsh:蓬亂蛋白,GSK-3β:肝醣合成酶激酶-3β,APC:腺瘤性息肉症大腸桿菌蛋白,Tcf/Lef:T 細胞激素/淋巴球增強因子家族,PARP:聚(ADP-核糖)聚合酶。 所有人物 (9)