牛樟芝可降低雄性 Wister 大鼠四氯化碳引起的肝毒性
摘要
數字
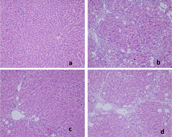
圖1. 大鼠肝臟顯微照片(H&E…
圖1. 大鼠肝臟顯微照片(H&E 染色)。 (a) 代表肝臟切片…
圖1. 大鼠肝臟顯微照片(H&E 染色) (a) 對照組肝臟的代表性切片,顯示正常組織學。 。肝損傷。 (c) 高劑量牛樟芝治療部分阻止了保肝活性。壞死、氣球樣變、透明細胞灶形成和肝小葉結構喪失等組織病理學變化都中度恢復。 (d) 然而,水飛薊素治療的大鼠肝臟切片的組織學結構仍然顯示出一些空洞和壞死
圖2. 大鼠天狼星紅染色…
圖2. 大鼠肝臟切片天狼星紅染色。 a:控制; b: CCl4 + H2O,…
圖 2. 大鼠肝臟切片的天狼星紅染色。 a:控制; b:CCl4 + H2O,顯示微結節形成和彼此完全的隔膜互連; c:CCl4+大劑量處理牛樟芝; d:CCl4+水飛薊素。