Amelioration effects of nanoencapsulated triterpenoids from petri dish-cultured Antrodia cinnamomea on reproductive function of diabetic male rats
Abstract
Figures
Figure 1
The characteristic of Nano-PAC: (…
Figure 1
The characteristic of Nano-PAC: ( A ) spherical shapes showed by scanning electron…
Figure 1 The characteristic of Nano-PAC: (A) spherical shapes showed by scanning electron microscopy and (B) control release. Abbreviations: Nano-PAC, PAC encapsulated in silica–chitosan nanoparticles; PAC, petri dish-cultured Antrodia cinnamomea; SGF, simulated gastric fluid; SIF, simulated intestinal fluid.
Figure 2
Cell viability of LC540 cell…
Figure 2
Cell viability of LC540 cell after treating with Nano-PAC for 24 hours. Note:…
Figure 2 Cell viability of LC540 cell after treating with Nano-PAC for 24 hours. Note: Data are shown as mean±SD (n=3). Abbreviations: Nano-PAC, PAC encapsulated in silica–chitosan nanoparticles; PAC, petri dish-cultured Antrodia cinnamomea.
Figure 3
Effect of Nano-PAC on (…
Figure 3
Effect of Nano-PAC on ( A ) NO and ( B ) superoxide…
Figure 3 Effect of Nano-PAC on (A) NO and (B) superoxide production of LC540 cell after treating for 24 hours, induced by LPS (10 µg/mL). Notes: Data are shown as mean±SD (n=3). The values with different letters (a and b) represent significant (P<0.05) difference as analyzed by the Duncan’s multiple range test. Abbreviations: Nano-PAC, PAC encapsulated in silica–chitosan nanoparticles; NO, nitric oxide; LPS, lipopolysaccharides; PAC, petri dish-cultured Antrodia cinnamomea.
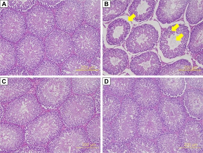
Figure 4
Thickness of seminiferous tubule in…
Figure 4
Thickness of seminiferous tubule in STZ-induced diabetic rats: ( A ) Con, (…
Figure 4 Thickness of seminiferous tubule in STZ-induced diabetic rats: (A) Con, (B) DM, (C) Nano-PAC5, and (D) Met. Notes: The testis sections were stained with H&E. The yellow arrow indicates the changes in the seminiferous tubule. Abbreviations: STZ, streptozotocin; Con, control; DM, diabetes mellitus; Nano-PAC5, diabetes+20 mg/kg per day Nano-PAC; Met, diabetes+300 mg/kg per day metformin; Nano-PAC, PAC encapsulated in silica–chitosan nanoparticles; PAC, petri dish-cultured Antrodia cinnamomea.
Figure 5
Activity of ( A )…
Figure 5
Activity of ( A ) SOD, ( B ) GPx, and ( C…
Figure 5 Activity of (A) SOD, (B) GPx, and (C) CAT in testis of STZ-induced diabetic rats fed different doses of Nano-PAC after 42 days. Notes: Data are shown as mean±SD (n=6 rats/group). The bars with different letters (a–d) represent significant (P<0.05) difference as analyzed by the Duncan’s multiple range test. Abbreviations: SOD, superoxide dismutase; GPx, glutathione peroxidase; CAT, catalase; STZ, streptozotocin; Nano-PAC, PAC encapsulated in silica–chitosan nanoparticles; Con, control; DM, diabetes mellitus; Nano-PAC1, diabetes+4 mg/kg per day Nano-PAC; Nano-PAC2, diabetes+8 mg/kg per day Nano-PAC; Nano-PAC5, diabetes+20 mg/kg per day Nano-PAC; Met, diabetes+300 mg/kg per day metformin; Nano-con, diabetes+20 mg/kg per day silica–chitosan nanoparticles; PAC, petri dish-cultured Antrodia cinnamomea.
Figure 6
Testis ( A ) IL-6…
Figure 6
Testis ( A ) IL-6 and ( B ) TNF-α and ( C…
Figure 6 Testis (A) IL-6 and (B) TNF-α and (C) plasma IFN-γ production in STZ-induced diabetic rats fed different doses of Nano-PAC after 42 days. Notes: Data are shown as mean±SD (n=6 rats/group). The bars with different letters (a and b) represent significant (P<0.05) difference as analyzed by the Duncan’s multiple range test. Abbreviations: STZ, streptozotocin; Nano-PAC, PAC encapsulated in silica–chitosan nanoparticles; Con, control; DM, diabetes mellitus; Nano-PAC1, diabetes+4 mg/kg per day Nano-PAC; Nano-PAC2, diabetes+8 mg/kg per day Nano-PAC; Nano-PAC5, diabetes+20 mg/kg per day Nano-PAC; Met, diabetes+300 mg/kg per day metformin; Nano-con, diabetes+20 mg/kg per day silica–chitosan nanoparticles; PAC, petri dish-cultured Antrodia cinnamomea.
Figure 7
Protein expression of ( A…
Figure 7
Protein expression of ( A ) ASK1, ( B ) c-Jun, and (…
Figure 7 Protein expression of (A) ASK1, (B) c-Jun, and (C) ATF2 after treatment with Nano-PAC for 42 days. Notes: Data are shown as mean±SD (n=6 rats/group). The bars with different letters (a–c) represent significant (P<0.05) difference as analyzed by the Duncan’s multiple range test. Abbreviations: Nano-PAC, PAC encapsulated in silica–chitosan nanoparticles; Con, control; DM, diabetes mellitus; Nano-PAC1, diabetes+4 mg/kg per day Nano-PAC; Nano-PAC2, diabetes+8 mg/kg per day Nano-PAC; Nano-PAC5, diabetes+20 mg/kg per day Nano-PAC; Met, diabetes+300 mg/kg per day metformin; Nano-con, diabetes+20 mg/kg per day silica–chitosan nanoparticles; PAC, petri dish-cultured Antrodia cinnamomea.
Figure 8
Sperm ( A ) count,…
Figure 8
Sperm ( A ) count, ( B ) mobility, and ( C )…
Figure 8 Sperm (A) count, (B) mobility, and (C) abnormality in STZ-induced diabetic rats fed different concentrations of Nano-PAC after 42 days. Notes: Data are shown as mean±SD (n=6 rats/group). The bars with different letters (a–d) represent significant (P<0.05) difference as analyzed by the Duncan’s multiple range test. Abbreviations: STZ, streptozotocin; Nano-PAC, PAC encapsulated in silica–chitosan nanoparticles; Con, control; DM, diabetes mellitus; Nano-PAC1, diabetes+4 mg/kg per day Nano-PAC; Nano-PAC2, diabetes+8 mg/kg per day Nano-PAC; Nano-PAC5, diabetes+20 mg/kg per day Nano-PAC; Met, diabetes+300 mg/kg per day metformin; Nano-con, diabetes+20 mg/kg per day silica–chitosan nanoparticles; PAC, petri dish-cultured Antrodia cinnamomea.
Figure 9
Sperm morphology of STZ-induced diabetic…
Figure 9
Sperm morphology of STZ-induced diabetic rats after 42 days fed Nano-PAC. Notes: Light…
Figure 9 Sperm morphology of STZ-induced diabetic rats after 42 days fed Nano-PAC. Notes: Light microscopy of sperm in each group (200×): (A) Con, (B) DM, (C) Nano-PAC5, and (D) Met. The white arrow represents abnormal sperm. Abbreviations: STZ, streptozotocin; Nano-PAC, PAC encapsulated in silica–chitosan nanoparticles; Con, control; DM, diabetes mellitus; Nano-PAC5, diabetes+20 mg/kg per day Nano-PAC; Met, diabetes+300 mg/kg per day metformin; PAC, petri dish-cultured Antrodia cinnamomea.
Figure 10
( A ) ROS production…
Figure 10
( A ) ROS production and ( B ) the level of MMP…
Figure 10 (A) ROS production and (B) the level of MMP of STZ-induced diabetes in sperm rats after fed Nano-PAC for 42 days. Notes: Data are shown as mean±SD (n=6 rats/group). The bars with different letters (a–c) represent significant (P<0.05) difference as analyzed by the Duncan’s multiple range test. Abbreviations: MMP, mitochondrial membrane potential; STZ, streptozotocin; Nano-PAC, PAC encapsulated in silica–chitosan nanoparticles; Con, control; DM, diabetes mellitus; Nano-PAC1, diabetes+4 mg/kg per day Nano-PAC; Nano-PAC2, diabetes+8 mg/kg per day Nano-PAC; Nano-PAC5, diabetes+20 mg/kg per day Nano-PAC; Met, diabetes+300 mg/kg per day metformin; Nano-con, diabetes+20 mg/kg per day silica–chitosan nanoparticles; PAC, petri dish-cultured Antrodia cinnamomea; DCFH-DA, 2′,7′-dichlorofluorescein-diacetate; Rh 123, rhodamine 123; ROS, Reactive Oxygen Species.
Figure 11
Expression of ( A )…
Figure 11
Expression of ( A ) testosterone, ( B ) LH, and ( C…
Figure 11 Expression of (A) testosterone, (B) LH, and (C) FSH in plasma of STZ-induced diabetic rats after treatment for 42 days. Notes: Data are shown as mean±SD (n=6 rats/group). The bars with different letters (a–c) represent significant (P<0.05) difference as analyzed by the Duncan’s multiple range test. Abbreviations: LH, luteinizing hormone; FSH, follicle stimulating hormone; STZ, streptozotocin; Con, control; DM, diabetes mellitus; Nano-PAC1, diabetes+4 mg/kg per day Nano-PAC; Nano-PAC2, diabetes+8 mg/kg per day Nano-PAC; Nano-PAC5, diabetes+20 mg/kg per day Nano-PAC; Met, diabetes+300 mg/kg per day metformin; Nano-con, diabetes+20 mg/kg per day silica–chitosan nanoparticles; PAC, petri dish-cultured Antrodia cinnamomea. All figures (11)