Protective Effect of Spore Powder of Antrodia camphorata ATCC 200183 on CCl4-Induced Liver Fibrosis in Mice
Abstract
Liver fibrosis is a pathological process with intrahepatic diffused deposition of the excess extracellular matrix, which leads to various chronic liver diseases. Drugs with high efficacy and low toxicity for liver fibrosis are still unavailable. Antrodia camphorata has antioxidant, antivirus, antitumor and anti-inflammation roles, and has been used to treat liver diseases in the population. However, the hepatoprotective effects of A. camphorata spores and the mechanisms behind it have not been investigated. In this study, we evaluate the hepatoprotective effect of spore powder of A. camphorata (SP, 100 mg/kg/day or 200 mg/kg/day) on carbon tetrachloride (CCl4)-induced liver fibrosis in mice. SP groups reduced serum aspartate aminotransferase (AST) and alanine aminotransferase (ALT) activities compared with the CCl4 group. SP also showed a decrease in hydroxyproline (Hyp) content in liver tissues. SP improved cell damage and reduced collagen deposition by H&E, Sirius red and Masson staining. Furthermore, SP down-regulated the mRNA levels of α-SMA and Col 1, and the protein expression of α-smooth muscle actin (α-SMA), collagen I (Col 1), tumor necrosis factor alpha (TNF-α), toll like receptor 4 (TLR4) and nuclear factor-Κb (NF-κB) p65. In summary, SP has an ameliorative effect on hepatic fibrosis, probably by inhibiting the activation of hepatic stellate cells, reducing the synthesis of extracellular matrix.
Figures
Figure 1
HPLC chromatogram of triterpenoids of…
Figure 1
HPLC chromatogram of triterpenoids of A. camphorata in submerged culture, including the standard…
Figure 1 HPLC chromatogram of triterpenoids of A. camphorata in submerged culture, including the standard (a), mycelia (b), spore (c), and culture broth (d). 1: Ergosterol; 2: Cholesterol; 3: Lanosterol; 4: Stigmasterol; 5: Sitosterol.
Figure 2
Effect of spore powder of…
Figure 2
Effect of spore powder of A. camphorata on the serum and tissue biomarkers…
Figure 2 Effect of spore powder of A. camphorata on the serum and tissue biomarkers in CCl4-treated mice. (A) Liver index. (B) Serum ALT level. (C) Serum AST level. (D) Serum BUN level. (E) Serum creatinine level. (F) MDA level of liver tissues. (G) GSH level of liver tissues. (H) GSH-Px level of liver tissues. Data are presented as mean ± SEM (n = 6). Different letters indicate significantly different values according to a one-way ANOVA using Tukey’s test for multiple comparisons. Compared with control group (CTRL), ##p < 0.01; compared with CCl4 induced group (CCl4), * p < 0.05, ** p < 0.01. CCl4, carbon tetrachloride; ALT, alanine aminotransferase; AST, aspartate aminotransferase; BUN, blood urea nitrogen; MDA, malondialdehyde; GSH, glutathione; GSH-Px, glutathione peroxidase; SI, silymarin; SPL, low-dose treatment with spore powder of A. camphorata; SPH, low-dose treatment with spore powder of A. camphorata.
Figure 3
Effect of spore powder of…
Figure 3
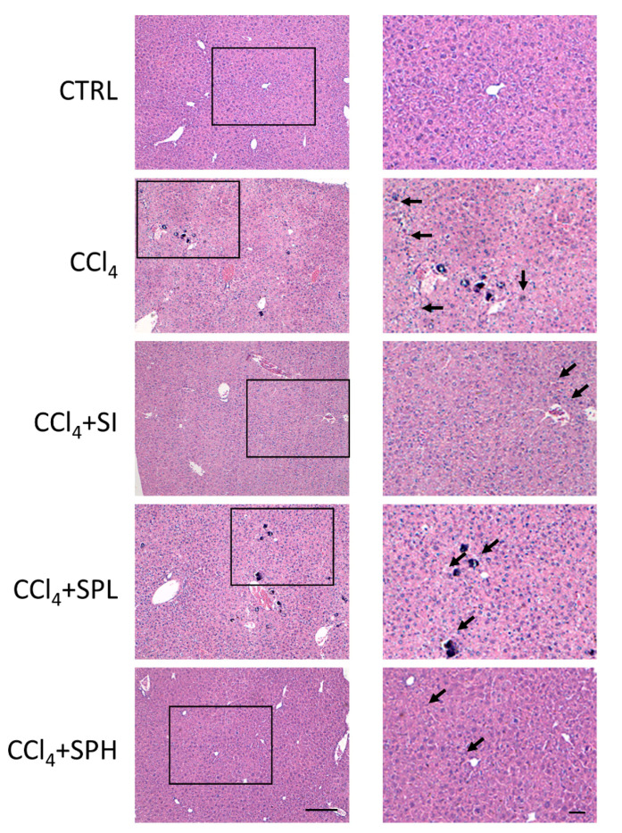
Effect of spore powder of A. camphorata on liver pathology in CCl 4…
Figure 3 Effect of spore powder of A. camphorata on liver pathology in CCl4 treated mice by H&E staining. Scale bar: 100 μm. CTRL, control group; CCl4, carbon tetrachloride; SI, silymarin; SPL, low-dose treatment with spore powder of A. camphorata; SPH, low-dose treatment with spore powder of A. camphorata.
Figure 4
Effects of spore powder of…
Figure 4
Effects of spore powder of A. camphorata on collagen accumulation in the liver…
Figure 4 Effects of spore powder of A. camphorata on collagen accumulation in the liver tissues in CCl4-treated mice. (A) Hydroxyproline content (Hyp) in liver tissues from mice of different groups. (B) Sirius red staining and collagen content (C) in liver tissues from mice of different groups. Masson Trichrome staining (D) in liver tissues from mice of different groups. Data are presented as mean ± SEM (n = 6). Different letters indicate significantly different values according to a one-way ANOVA using Tukey’s test for multiple comparisons. Compared with control group (CTRL), ##p < 0.01; compared with CCl4-induced group (CCl4), * p < 0.05, ** p < 0.01. Scale bar: 100 μm. Hyp, hydroxyproline; CCl4, carbon tetrachloride; SI, silymarin; SPL, low-dose treatment with spore powder of A. camphorata; SPH, low-dose treatment with spore powder of A. camphorata.
Figure 5
Effects of spore powder of…
Figure 5
Effects of spore powder of A. camphorata on the expression of α-SMA and…
Figure 5 Effects of spore powder of A. camphorata on the expression of α-SMA and Col1 in liver tissues from mice treated by CCl4. The transcription levels of α-SMA (A) and Col 1 (B) genes in the liver tissues. (C) The translation levels of α-SMA and Col 1 genes in the liver tissues. Data are presented as mean ± SEM (n = 6). Different letters indicate significantly different values according to a one-way ANOVA using Tukey’s test for multiple comparisons. Compared with control group (CTRL), ##p < 0.01; compared with CCl4-induced group (CCl4), * p < 0.05, ** p < 0.01. α-SMA, α-smooth muscle actin; Col 1, collagen I; GAPDH, Glyceraldehyde-3-phosphate dehydrogenase. CTRL, control group; CCl4, carbon tetrachloride; SI, silymarin; SPL, low-dose treatment with spore powder of A. camphorata; SPH, low-dose treatment with spore powder of A. camphorata.
Figure 6
Effects of spore powder of…
Figure 6
Effects of spore powder of A. camphorata on the expression of TNF-α, TLR4,…
Figure 6 Effects of spore powder of A. camphorata on the expression of TNF-α, TLR4, NF-Κb (A–C) and the immunohistochemistry staining of F4/80 (D) in liver tissues from mice treated by CCl4. Data are presented as mean ± SEM (n = 6). Different letters indicate significantly different values according to a one-way ANOVA using Tukey’s test for multiple comparisons. Compared with control group (CTRL), ##p < 0.01; compared with CCl4-induced group (CCl4), * p < 0.05, ** p < 0.01. TNF-α, tumor necrosis factor alpha; TLR4, toll like receptor 4; NF-Κb, nuclear factor-Κb; CTRL, control group; CCl4, carbon tetrachloride; SI, silymarin; SPL, low-dose treatment with spore powder of A. camphorata; SPH, low-dose treatment with spore powder of A. camphorata.