Hepatoprotective Effect of Antrodia camphorata Mycelium Powder on Alcohol-Induced Liver Damage
Abstract
Figures
Figure 1
Cytotoxicity of A. camphorata mycelium…
Figure 1
Cytotoxicity of A. camphorata mycelium powder.
Figure 1 Cytotoxicity of A. camphorata mycelium powder.
Figure 2
Body weight changes of each…
Figure 2
Body weight changes of each group during the experimental period.
Figure 2 Body weight changes of each group during the experimental period.
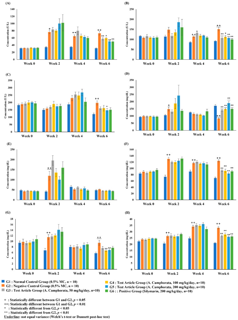
Figure 3
Concentration of biochemical markers in…
Figure 3
Concentration of biochemical markers in rat serum: alanine aminotransferase ( A ), aspartate…
Figure 3 Concentration of biochemical markers in rat serum: alanine aminotransferase (A), aspartate aminotransferase (B), alkaline phosphatase (C), glucose (D), triglycerides (E), cholesterol (F), low-density lipoprotein (G), and high-density lipoprotein (H). Data are presented as the mean ± SE. The results were statistically analyzed using Student’s t-test or one-way ANOVA.
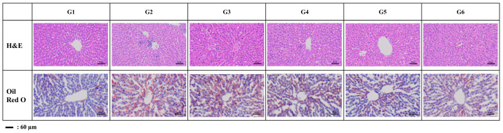
Figure 4
Representative histopathological profiles.
Figure 4
Representative histopathological profiles.
Figure 4 Representative histopathological profiles.
Figure 5
Concentration of γ-GTP ( A…
Figure 5
Concentration of γ-GTP ( A ) and adiponectin ( B ) in the…
Figure 5 Concentration of γ-GTP (A) and adiponectin (B) in the rat serum. Data were presented as the mean ± SE. The results were statistically analyzed using Student’s t-test or one-way ANOVA.