Antrodia Cinnamomea Prolongs Survival in a Patient with Small Cell Lung Cancer
Abstract
Introduction: Antrodia cinnamomea (AC) is an extremely rare medicinal fungus native to forested regions of Taiwan. It possesses numerous biological activities, especially anti-tumor effects shown in various in vitro cancer cells and in vivo animal models. However, there are few clinical reports about AC as a treatment for cancer patients. This report attempts to demonstrate the therapeutic effect of dish-cultured AC (DAC) on a small cell lung cancer (SCLC) patient taken orally for an extended duration. Patient concerns: An 88-year-old male with a history of diabetes mellitus and hypertension visited the outpatient department with the symptoms of dyspnea and a cough for two weeks. After a diagnosis of SCLC, the patient declined both chemotherapy and radiotherapy because of the side effects and only accepted supportive care without additional therapy. Diagnosis: Limited-stage SCLC (T4N2M1a, stage IV) after the chest radiograph, computed tomography-guided biopsy, and pathological diagnosis. Interventions: The patient was prescribed DAC with an increasing dosage, from 5 g/d up to 10 g/d DAC, for six months, without radiation or chemotherapy treatment. Outcomes: DAC caused the tumor to shrink substantially. Surprisingly, the patient survived for 32 months without relapse after six months of DAC treatment. Laboratory examinations indicated that the patient's health had improved significantly, reverting to near normal levels. Notably, he had a good quality of life with a high Barthel index score. Unfortunately, this patient died of septic shock caused by acute cholangitis. Conclusion: DAC may exert an anti-cancer effect, which can lead to tumor regression. This is supposed to be achieved by the combined DAC's immunomodulatory, anti-angiogenic, anti-metastatic, anti-proliferative, and pro-apoptotic effects mediated through multiple signaling pathways. We propose that DAC can be used as a complementary medicine to prolong the life expectancy and improve the life quality of SCLC patients.
Figures
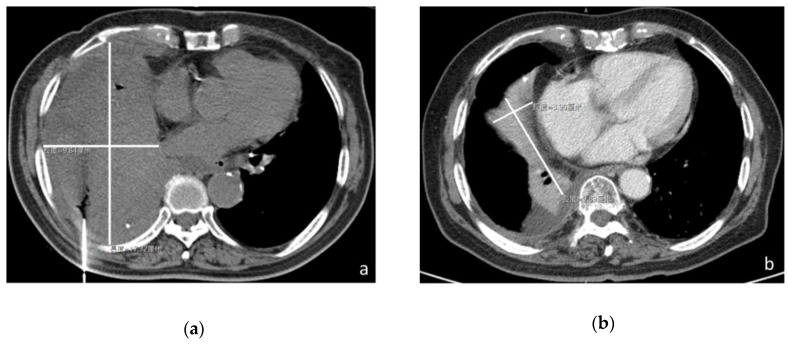
Figure 1
Dish-cultured Antrodia cinnamomea (DAC) shrinks…
Figure 1
Dish-cultured Antrodia cinnamomea (DAC) shrinks the tumor in a cancer patient with administration…
Figure 1 Dish-cultured Antrodia cinnamomea (DAC) shrinks the tumor in a cancer patient with administration for only 6 months. CT image of the patient (a) in December 2015 revealed a huge tumor (17.26 × 9.78 cm in the largest dimension) in the right lower lung and (b) in July 2017 showed the tumor mass remarkably reduced in size (8.89 × 3.90 cm in the largest dimension).
Figure 2
Timeline of interventions and outcomes.…
Figure 2
Timeline of interventions and outcomes. The left green boxes describe the clinical presentations…
Figure 2 Timeline of interventions and outcomes. The left green boxes describe the clinical presentations and clinical diagnosis while the red boxes in the right side reveal the interventions and outcomes.
Figure 3
The findings of biochemistry examinations…
Figure 3
The findings of biochemistry examinations and hematology test of the small cell lung…
Figure 3 The findings of biochemistry examinations and hematology test of the small cell lung cancer (SCLC) patient during the DAC treatment period. (a) The elevated HbA1c returned to the normal range. The high fasting sugar levels also declined to the normal range. (b) The ALT and AST levels were improved. The CRP levels returned to the normal range. (c) The serum creatinine levels decreased. Low eGFR increased to the normal range. (d) The Seg returned to the baseline level. Low Lym counts regained the normal level. The Mono, Eos, and Baso counts remained stationary. GAC = glucose ante cibum (before meals); HbA1c = glycated hemoglobin; BW = body weight; SBP = systolic blood pressure; DBP = diastolic blood pressure; ALT = alanine transaminase; AST = aspartate aminotransferase; CRP = C-reactive protein; eGFR = estimated glomerular filtration rates; Seg = segmented neutrophil counts; Lym = lymphocyte; Mon = monocyte; Eos = eosinophil; Baso = basophil.
Figure 4
High Performance Liquid Chromatograph (HPLC)…
Figure 4
High Performance Liquid Chromatograph (HPLC) profiles of a methanol extract of cultivated Antrodia…
Figure 4 High Performance Liquid Chromatograph (HPLC) profiles of a methanol extract of cultivated Antrodia cinnamomea (AC). (a) Wood-state cultured AC (fruiting bodies); (b) DAC (fruiting bodies); (c) DAC (fruiting bodies and mycelia). K = (R, S)-antcin K; C = (R, S)-antcin C; H = (R, S)-antcin H; B = (R, S)-antcin B; A = (R, S)-antcin A; DSA = dehydrosulphurenic acid; DEA = dehydroeburicoic acid; AC = Antrodia cinnamomea; Tol. = toluene (internal standard); Dex. = dexamethasone (internal standard).