Anti-Metastatic Effects of Antrodan with and without Cisplatin on Lewis Lung Carcinomas in a Mouse Xenograft Model
Abstract
Antrodan, a unique protein-bound polysaccharide derived from the fungal mycelia of Antrodia cinnamomea, has been reported to exhibit antitumor and anti-metastatic effects on Lewis lung carcinoma (LLC) cells through direct action and immunomodulation in vitro. In this study, we investigated the combined treatment of antrodan with an anti-cancer drug-cisplatin-and its underlying molecular mechanisms of action in a mouse xenograft tumor model. C57BL/6 mice were implanted (s.c.) with LLCs for nine days, before administration with only antrodan (20 mg/kg and 40 mg/kg; p.o.) daily, only cisplatin (1 mg/kg; i.p.) twice per week, or a combination of both for an additional 28 days. As expected, antrodan on its own significantly inhibited metastasis of lung and liver tissues, while treatment with cisplatin only merely inhibited metastasis of the liver. Antrodan exhibited efficient adjuvant therapy in combination with cisplatin, by inhibiting the activities of the plasma urokinase plasminogen activator (uPA) and the liver matrix metalloproteinase 9 (MMP-9), as well as by inhibiting the phosphorylation of p38 and extracellular signal-regulated kinase 2 (ERK2) in lung and liver tissues. In addition, antrodan effectively ameliorated cisplatin-induced kidney dysfunction when treated combinatorially, as evidenced by a decrease in cisplatin-induced blood urea nitrogen (BUN) levels in plasma and in the level of p38 phosphorylation in the kidney. Mechanistically, the actions of antrodan on its own involved (i) reducing the activities of uPA and MMP-2 and -9 in plasma; (ii) reducing protein expression of MMP-2/9, and the phosphorylation of signal transducer and activator of transcription 3 (STAT3) and mitogen-activated protein kinases (MAPKs), including extracellular signal-regulated kinases (ERKs), c-Jun N-terminal kinases (JNKs), and p38 in lung and liver tissues; and (iii) enhancing immune system functions resulting in the promotion of an anti-metastatic response through immunomodulation, by increasing interferon-γ (IFN-γ) levels and decreasing interleukin-6 (IL-6) levels in plasma. These results demonstrated that antrodan provides a novel, complementary therapeutic strategy against cancer metastasis, by attenuating the activities of MMP-2 and -9 through the modulation of STAT3/MAPK/ERK/JNK signaling pathways, and of the host's immune system.
Figures
Figure 1
The schedule used for assessing…
Figure 1
The schedule used for assessing the effects of treatment with antrodan only, and…
Figure 1 The schedule used for assessing the effects of treatment with antrodan only, and the combined treatment of antrodan with cisplatin in C57BL/6 mice bearing Lewis lung carcinomas (LLCs). LLC cells (105 cells/mouse) were subcutaneously injected into the right flank of each mouse at day 0. Once subcutaneous nodules were visible at the inoculation site (day 9 after inoculation), treatment with antrodan only was orally administered at doses of 20 mg/kg or 40 mg/kg body weight (BW) per day for 28 days. Treatment with cisplatin only was administered at a dose of 1 mg/kg BW, through an intraperitoneal bolus injection, twice per week. Combined treatments of cisplatin (1 mg/kg) with either a low dose (20 mg/kg) or a high dose of antrodan (40 mg/kg) were performed concurrently in the study.
Figure 2
Effects of treatment with antrodan…
Figure 2
Effects of treatment with antrodan only, cisplatin only, and a combination of both…
Figure 2 Effects of treatment with antrodan only, cisplatin only, and a combination of both on LLC-bearing C57BL/6 mice. Effect on body weight (A), effect on primary tumor area (B), and effect on primary tumor morphology (C). LLC cells (1 × 105 cells/100 µL) were subcutaneously injected into the right flanks of C57BL/6 mice. Nine days after injection, mice were either administered antrodan (20 mg/40kg and 40 mg/kg; p.o.) daily, cisplatin (1 mg/kg, i.p.) twice per week, or a combination of both for an additional 28 days. Body weight was measured twice per week. The formula for calculating tumor area was: length × width × (π ÷ 4). Means sharing a letter in superscript were not significantly different (p > 0.05).
Figure 3
Effects of treatment with antrodan…
Figure 3
Effects of treatment with antrodan only, cisplatin only, and a combination of both…
Figure 3 Effects of treatment with antrodan only, cisplatin only, and a combination of both on the metastasis of lung (left panel) and liver (right panel) foci in LLC-bearing C57BL/6 mice. Percentage metastasis in the tumor control group was 100%. Within each tissue, values not sharing a common letter were significantly different (p < 0.05).
Figure 4
Effects of treatment with antrodan…
Figure 4
Effects of treatment with antrodan only, cisplatin only, and a combination of both…
Figure 4 Effects of treatment with antrodan only, cisplatin only, and a combination of both on protein expression of matrix metalloproteinase 2 (MMP-2), MMP-9, and urokinase plasminogen activator (uPA) in plasma of LLC-bearing C57BL/6 mice. Enzyme activity in the blank control group was 100%. Within each enzyme, values not sharing a common letter were significantly different (p < 0.05).
Figure 5
Effects of treatment with antrodan…
Figure 5
Effects of treatment with antrodan only, cisplatin only, and a combination of both…
Figure 5 Effects of treatment with antrodan only, cisplatin only, and a combination of both on protein expression of MMP-2 and MMP-9, and on the phosphorylation and protein expression of signal transducer and activator of transcription 3 (STAT3), extracellular signal-regulated kinase 1 (ERK-1), c-Jun N-terminal kinase 1 (JNK1), JNK2, and p38 in lung tissues of C57BL/6 mice. Changes in the levels of each protein were quantified using the AlphaEaseFC software, and relative data were normalized with respect to β-actin levels, and included under each blot, considering the control levels as 100. Within each protein, values with differing letters in superscript were significantly different (p < 0.05).
Figure 6
Effects of treatment with antrodan…
Figure 6
Effects of treatment with antrodan only, cisplatin only, and a combination of both…
Figure 6 Effects of treatment with antrodan only, cisplatin only, and a combination of both on protein expression of MMP-2 and MMP-9, and on the phosphorylation and protein expression of STAT3, ERK1, JNK1, JNK2, and p38 in liver tissues of C57BL/6 mice. Changes in the levels of each protein were quantified using the AlphaEaseFC software, and relative data were normalized with respect to β-actin levels, and included under each blot, considering the control levels as 100. Within each protein, values with differing letters in superscript were significantly different (p < 0.05).
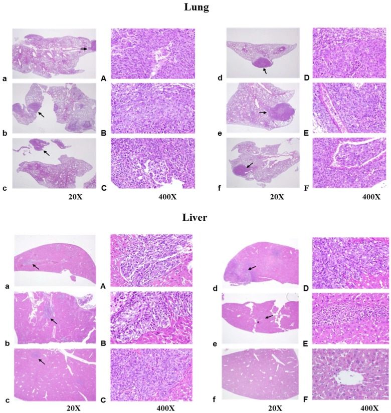
Figure 7
Histological analysis of tumor growth…
Figure 7
Histological analysis of tumor growth and metastasis of LLC cells in the lung…
Figure 7 Histological analysis of tumor growth and metastasis of LLC cells in the lung (upper panel) and liver (lower panel) of C57BL/6 mice after tumor cell implantation and oral administration of antrodan, or i.p. administration of cisplatin. The morphology of multiple, slight to moderate, tumor cell metastases via blood or lymph vessels to the lung and liver in the form of tumor emboli (arrows), which also grew in the parenchyma of the lung, were observed and photographed under the microscope (20× and 400× magnification) in the tumor control group (a and A), and the groups treated with antrodan only (20 mg/kg, b and B; 40 mg/kg, c and C), cisplatin only (1 mg/kg) (d and D), a combination of antrodan (20 mg/kg) and cisplatin (e and E), and a combination of antrodan (40 mg/kg) and cisplatin (f and F). A complete inhibitory effect on liver metastasis was seen upon treatment with a combination of antrodan (40 mg/kg) and cisplatin (f and F).
Figure 8
Effects of treatment with antrodan…
Figure 8
Effects of treatment with antrodan only, cisplatin only, and a combination of both…
Figure 8 Effects of treatment with antrodan only, cisplatin only, and a combination of both on BUN levels (A), and on the phosphorylation and protein expression of p38 in kidney tissues (B) in C57BL/6 mice. Western blots of phosphorylated p38 (p-p38), p38, and β-actin (B-upper). Densitometric analysis of protein expression (B-lower). Changes in the levels of each protein were quantified using the AlphaEaseFC software, and relative data were normalized with respect to β-actin levels, and included under each blot, considering the control levels as 100. In the bar graph, values not sharing a common letter were significantly different (p < 0.05). In the western blot, values with differing letters in superscript were significantly different (p < 0.05) (B-upper).
Figure 9
The observed effects of treatment…
Figure 9
The observed effects of treatment with antrodan only, cisplatin only, and their combination…
Figure 9 The observed effects of treatment with antrodan only, cisplatin only, and their combination on LLC-bearing C57BL/6 mice in this study. *: Antrodan treatment alone. ↓: Inhibitory effect. All figures (9)