牛樟芝誘導的肝癌細胞中 microRNA 改變的整體評估
圖
圖 1. MicroRNA 分析工作流程。
皆為實驗…
圖 1.MicroRNA 分析工作流程。
實驗細胞和對照細胞均經過處理或未處理(對照,...
圖1. MicroRNA 分析工作流程。實驗細胞和對照細胞均經過處理或未處理(對照,僅添加DMSO) ,用 500 µg/ml AcFBE(實驗)提取 MicroRNA,進行測序並進行比較,分別測試可靠性和 AcFBE 效果。波動的性質。SK-HEP-1 miRNA ( A…
圖2. 透過散點圖對miRNA 表達進行跨時間點比較。SK-HEP-1 miRNA ( < b>A) 和BNL CL.2(對照)miRNA (B) 均以5500xl 進行定序,並使用散點圖進行分析,以測試從2 小時時間點到4 小時時間點的資料外推的一致性使用 Student t 檢定計算每個庫的相關係數 (R) 和 P 值,在所有情況下均觀察到線性相關。 ="圖3" />圖3. 顯示跨實驗比較的箱線圖...
圖3. 顯示跨實驗比較的箱線圖AcFBE 處理與未處理樣本之間miRNA 表現的實驗比較。
…
圖 3. 箱線圖顯示了經過 AcFBE 處理和未經處理的樣品之間 miRNA 表達的交叉實驗比較。 miRNA 表現量(內框)和中位數(每個內框的水平線,外框正下方括號中顯示的值)的分佈通過每個時間點的每個(未處理與處理)對的箱線圖呈現(對於SK-HEP-1 和BNL CL.2 正常細胞,重複2 小時和4 小時時間點的SK-HEP-1 癌細胞實驗,並透過兩種類型的定序儀分別對重複樣本進行定序(如上所示)。產生的SOLiD 5500 miRNA 資料集。 " />圖 4.... 的 miRNA 表現譜
圖 4. 經過處理的 AcFBE 的 SK-HEP-1 和 BNL CL.2 的 miRNA 表現譜。
到…
圖 4. 經過處理的 AcFBE 的 SK-HEP-1 和 BNL CL.2 的 miRNA 表現譜。 比較經處理的 AcFBE 對 SK-HEP-1 和 BNL CL.2 細胞在 2 小時和 4 小時時已知 miRNA 的表達量的影響。
圖 5. 跨時間比較頂部… < /p>
圖5. 從SK-HEP-1 細胞中鑑定出的前20 個最下調miRNA 的跨時間比較…
圖5. 前20 個最下調miRNA 的跨時間比較從用AcFBE 處理2 小時的SK-HEP-1 細胞中鑑定出來。 (A) 對來自 2 小時 AcFBE 處理或未處理的 SK-HEP-1 細胞的第一批優質 miRNA(透過 SOLiD 3 定序)進行標準化,並用於計算 log2 倍數變化。從處理過的值中減去未處理過的值。鑑定出前 20 個最顯著下調的 miRNA,並與 4 小時時間點的水平進行比較。 (B) 與 A 相同,但由另一批 SK-HEP-1 細胞製備(重複樣本由 SOLiD 5500xl 定序)。
圖 6. 跨時間比較 (2小時與...
圖6. 前10 個最顯著的跨時間比較(2 小時與4 小時)...
圖6. 跨時間比較(2 小時與4 小時)前10 個最顯著上調的miRNA (A) 中的2 小時AcFBE 處理或未處理的SK-HEP-1 細胞的第一批優質miRNA(使用SOLiD 3 測序)通過(實際值)進行標準化。 miRNA,然後將其與4 小時時的水平進行比較。 (B) 與 A 相同,但由另一批 SK-HEP-1 細胞製備(使用 SOLiD 5500xl 定序的重複樣本)。
圖 7. SK- 的蛋白質印跡分析HEP-1…
圖7. 經過或未經AcFBE 處理的SK-HEP-1 樣品的蛋白質印跡分析。
蛋白質印跡…
圖 7. 經過或未經 AcFBE 處理的 SK-HEP-1 樣品的蛋白質印跡分析。 蛋白質印跡顯示 Drosha (A) 和 Dicer (B) 蛋白減少,它們是 miRNA 生物發生途徑的關鍵酶。這伴隨著參與 miRNA 降解的 XRN2 蛋白的輕微增加。也觀察到 AKT(參與 PI3K 路徑)略有下降。癌細胞系,SK-HEP1肝癌細胞;藥物,肉桂子實體萃取物(AcFBE); 2U,用DMSO處理樣品2小時; 2T,樣本以 0.5 mg/ml AcFBE 處理 2 小時; 4U,樣品用DMSO處理4小時; 4T,樣本以 0.5 mg/ml AcFBE 處理 4 小時。 (C) 一式三份蛋白質印跡實驗的總結長條圖。 2小時,樣品用AcFBE處理2小時; 4 小時,樣本用 AcFBE 處理 4 小時。相對於未處理對照的蛋白質水平如下所示。
圖8. SK-HEP 的轉錄組分析-1 肝…
圖 8. 經 AcFBE 處理或未經處理的 SK-HEP-1 肝癌細胞的轉錄組分析。
全部…
圖 8. 經或未經 AcFBE 處理的 SK-HEP-1 肝癌細胞的轉錄組分析。 所有轉錄組均以 RNA-Seq 方法進行分析。 mRNA 的表達量表示為 FPKM(每百萬映射片段中每公斤外顯子鹼基的片段)。 (A) 散佈圖顯示未經 AcFBE 處理的 SK-HEP-1 樣品(2U 與 4U)之間以及經過 AcFBE 處理的 SK-HEP-1 樣品(2T 與4T)。使用學生 t 檢定計算每個文庫的相關係數 (R) 和 P 值。處理過的樣本的分佈似乎比未處理過的樣本分散程度更低。
圖9.轉錄組中的重疊基因…
圖 9. 轉錄組文庫中的重疊基因。
( A ) 之間的重疊基因表現...
圖 9. 轉錄組文庫中的重疊基因。 (A) 轉錄組文庫中經 AcFBE 處理和未經處理的 SK-HEP-1 癌細胞之間的基因表現重疊。此圖顯示了 AcFBE 處理和未處理的 SK-HEP-1 細胞之間重疊基因的數量。 (B) 長條圖顯示 500 µg/ml AcFBE 處理 2 或 4 小時後的反應基因數量。 2T,處理2小時; 2U,2小時未處理; 4T,處理4小時; 4U,4小時未處理。上表達的標籤為紅色,下方表達的標籤為藍色。
圖10. 表達式中的變更. ..
圖10.促凋亡和抗凋亡基因表現的變化。
SK-HEP-1 肝癌細胞…
圖 10. 促凋亡和抗凋亡基因表現的變化。 將SK-HEP-1肝癌細胞以肉桂子實體萃取物處理(或未處理)2或4小時。對處理過的樣本的轉錄組進行分析,並與未處理的對應物進行比較,以揭示促凋亡基因和抗凋亡基因表現水平的變化。
圖 11. AcFBE 誘導的 MAPK 下調和…
圖11. B 細胞訊號傳導顯示AcFBE 誘導的MAPK 和PI3K/AKT 路徑下調…
圖11. AcFBE 誘導的MAPK 和PI3K/AKT 路徑下調使用KEGG 圖透過B細胞訊號網路。 對經過或未經 AcFBE 處理 2 小時的 SK-HEP-1 肝癌細胞的信使 RNA 生成的轉錄組進行分析,並將其插入 KEGG 資料庫進行通路分析。透過這個過程,PI3K/AKT/IKKβ/NFκB 和 MAPK 被確定為受影響最顯著的途徑。上調的途徑基因在紅色框中突出顯示,而下調的途徑基因在藍色框中突出顯示。
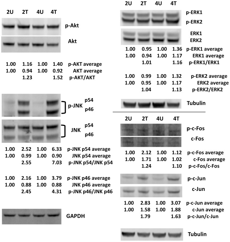
圖 12.…的蛋白質印跡分析< /p>
圖12. AKT、ERK、JNK、... 的磷酸化和非磷酸化形式的蛋白質印跡分析
圖12. AKT、ERK、JNK、... 的磷酸化和非磷酸化形式的蛋白質印跡分析c-Fos和c-Jun。 使用(0.5 mg/ml)或不使用 AcFBE 處理 SK-HEP1 肝癌細胞 2 或 4 小時。使用 GAPDH 或微管蛋白作為對照,重複免疫印跡實驗兩次。對重複數據進行平均並顯示在每個蛋白質條帶下方,然後計算磷酸化與未磷酸化的比率並顯示在處理的樣品下方。蛋白質條帶來自第一組免疫印跡實驗。未處理樣品的標準化蛋白質含量設定為 1.00,以便與相應的 AcFBE 處理樣品進行比較。 2U,未處理2小時; 2T,處理2小時; 4U,未處理4小時; 4T,處理4小時。 所有人物 (12)