Insights from the cDNA and EST analysis of Antrodia cinnamomea
Abstract
It is of interest to document the insights gleaned from the cDNA and EST analysis of Antrodia cinnamomea (a fungal species). Hence a library of sequences was constructed and analysed using standard procedures to gain new insights. Therefore, 65 ESTs, with size ranging from 300-2000 bp, were constructed. This included 46 ESTs with definite annotation, 18 ESTs were hypothetical and 1 new protein derived from BLAST analysis. We assigned 227 Gene Ontology terms linked to cell composition, transport, catalytic activity, and regulation functions in these sequences. Moreover, 56 matching genes were found in 8 Kyoto Encyclopedia of Genes and Genomes pathways. Data also showed 271 SSRs from Antrodia cinnamomea ESTs with an occurrence frequency of 96.82%. The STRING data analysis showed 29 genes encoded enzymes highly involved in protein-to-protein interactions linked to expression of regulation function. Thus, we documented some insights from the cDNA and EST analysis of Antrodia cinnamomea for further data mining.
Figures
Figure 1
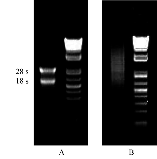
Electrophoresis of total RNA and…
Figure 1
Electrophoresis of total RNA and mRNA of A. cinnamomea mycelium.
Figure 1 Electrophoresis of total RNA and mRNA of A. cinnamomea mycelium.
Figure 2
Identity and length analysis of…
Figure 2
Identity and length analysis of primary (A, B) and secondary cDNA library (C,…
Figure 2 Identity and length analysis of primary (A, B) and secondary cDNA library (C, D).
Figure 3
Distribution of ESTs lengths.
Figure 3
Distribution of ESTs lengths.
Figure 3 Distribution of ESTs lengths.
Figure 4
Network nodes represent proteins: experimentally…
Figure 4
Network nodes represent proteins: experimentally determined (purple), gene neighborhood (green), gene fusions (red),…
Figure 4 Network nodes represent proteins: experimentally determined (purple), gene neighborhood(green), gene fusions (red), gene co-occurrence (blue), co-expression (black).